Verbeter je glimlach met composiet!
- Dentalair
- 6 dagen geleden
- 2 minuten om te lezen

Auteur
Dr. Maria Cura
Over dr. Maria Cura
Maria heeft een DDS en PhD in tandheelkunde behaald aan de Universiteit Rey Juan Carlos (Spanje) met internationale vermelding. Ze is hier specialist esthetische, restauratieve tandheelkunde en is bovendien afgestudeerd in prosthetische tandheelkunde SCOE. Daarnaast is ze deeltijd hoogleraar van de masteropleiding Restauratieve tandheelkunde aan de Universiteit Rey Juan Carlos en auteur van diverse onderzoeksartikelen in internationale tijdschriften met impactindex. Ze geeft regelmatig colleges op het gebied van esthetische tandheelkunde en heeft diverse prijzen ontvangen voor haar onderzoek en klinische activiteiten. Tot slot, heeft ze een exclusieve klinische praktijk in esthetische restauratieve tandheelkunde in Madrid (Spanje).
Kleine restauraties aan de insicale rand zijn buitengewoon complex. Daarnaast is de ruimte die je hebt zeer beperkt om te werken met verschillende dekkingsniveaus. Werken met één kleur is dan ideaal om het eenvoudig te houden, maar we moeten wel een esthetisch resultaat bereiken. Een 21-jarige vrouw die verder gezond was, kwam naar ons toe met klachten over haar glimlach: "Ik wil graag een mooiere glimlach. Mijn voortanden lijken gebroken en mijn hoektanden zijn te puntig." 3M™ Filtek™ Easy Match heeft een opaciteit die zich natuurlijk aanpast, waardoor het materiaal zo translucent is als glazuur en zo opaak als dentine, waar ik dat nodig heb.

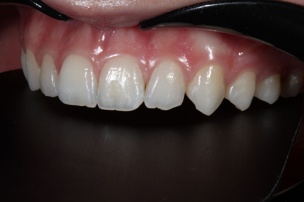
Beginsituatie

Buccaal aanzicht.
Anatomie van de voortanden.

Kleur bepalen met behulp van gewone en gepolariseerde fotografie. De kleur Bright past het best.


Isolatie met rubberdam.

Verwijdering van biofilm.
Reinigen van biofilm met puimsteenpasta en een profylaxeborstel.

Etsen met fosforzuurgel.
Laat het 15 seconden inwerken op het glazuuroppervlak.

Aanbrengen van 3M™ Scotchbond™ Universal Plus Adhesief.
Masseer het adhesief 20 seconden in op het tandoppervlak, blaas lucht om de oplosmiddelen te laten verdampen en hard vervolgens 10 seconden uit met licht.

3M™ Filtek™ Easy Match aanbrengen in de kleur Bright.

Een borsteltje helpt bij het vormen en verdelen van het composiet op het tandoppervlak.

Alle restauraties voltooid vóór het polijsten.

Glycerinegel aanbrengen vóór het uitharden met licht om de vorming van een inhibitielaag te voorkomen.

Eindresultaat na afwerking en polijsten met 3M™ Sof-Lex™ Afwerk- en Polijstschijfjes.

Zijaanzicht van de finale restauraties.

Zijaanzicht van de finale restauraties.

Is de patiënt tevreden met haar nieuwe glimlach?
Raadpleeg de gebruiksaanwijzing voor volledige productinformatie. De resultaten kunnen verschillen.
Vergelijkbare producten van Solventum:
3M™ Filtek™ Easy Match Universeel Restauratiemateriaal (ga naar webshop)
• Met slechts 3 tinten bereikt u een uitstekende kleurmatch met de glimlach van vrijwel iedere patiënt
• Vereenvoudigde kleurselectie, zonder in te leveren op opaciteit
• Gestroomlijnde voorraad helpt verspilling van weinig gebruikte composieten tegen te gaan
• Stevige verwerking
• Uitstekende slijtageweerstand en glansretentie
3M™ Scotchbond™ Universal Plus Adhesief (ga naar webshop)
• Hogere radiopaciteit
• Hecht aan door cariës aangetast dentine en dicht dit af*
• Geavanceerde hechting aan ieder tandheelkundig en restauratief oppervlak, waaronder glaskeramiek
• Werkt zowel lichtuithardend als zelfuithardend, zonder extra activator
• Vrij van BPA-derivaten, zoals BisGMA
* Interne Solventum gegevens.
Aanbevolen producten






Opmerkingen